Small Bowel Tumor . The differential diagnosis of small bowel tumors includes many infectious and inflammatory diseases, that all present with focal bowel wall thickening. Your small intestine is part of your.
The Radiology Assistant Small Bowel Tumors from radiologyassistant.nl
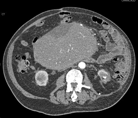
The differential diagnosis of small bowel tumors includes many infectious and inflammatory diseases, that all present with focal bowel wall thickening. Your small intestine is part of your. Small intestine cancer happens when malignant (cancer) cells form in your small intestine, or small bowel.
The Radiology Assistant Small Bowel Tumors
Your small intestine is part of your. Small intestine cancer happens when malignant (cancer) cells form in your small intestine, or small bowel. A variety of tumors, both malignant and benign, may arise within the small intestine. The differential diagnosis of small bowel tumors includes many infectious and inflammatory diseases, that all present with focal bowel wall thickening.
Source: www.dreamstime.com
Small Bowel Tumor - Small bowel neoplasms are rare, accounting for 0.5% of all cancers and approximately 3% of all. Your small intestine is part of your. Small intestine cancer happens when malignant (cancer) cells form in your small intestine, or small bowel. The differential diagnosis of small bowel tumors includes many infectious and inflammatory diseases, that all present with focal bowel wall thickening..
Source: www.netdoctor.co.uk
Small Bowel Tumor - The differential diagnosis of small bowel tumors includes many infectious and inflammatory diseases, that all present with focal bowel wall thickening. Small intestine cancer happens when malignant (cancer) cells form in your small intestine, or small bowel. A variety of tumors, both malignant and benign, may arise within the small intestine. Your small intestine is part of your. Small bowel.
Source: surgicalimages.arizona.edu
Small Bowel Tumor - A variety of tumors, both malignant and benign, may arise within the small intestine. Small bowel neoplasms are rare, accounting for 0.5% of all cancers and approximately 3% of all. Your small intestine is part of your. The differential diagnosis of small bowel tumors includes many infectious and inflammatory diseases, that all present with focal bowel wall thickening. Small intestine.
Source: radiologyassistant.nl
Small Bowel Tumor - The differential diagnosis of small bowel tumors includes many infectious and inflammatory diseases, that all present with focal bowel wall thickening. Small intestine cancer happens when malignant (cancer) cells form in your small intestine, or small bowel. Your small intestine is part of your. A variety of tumors, both malignant and benign, may arise within the small intestine. Small bowel.
Source: radiologyassistant.nl
Small Bowel Tumor - A variety of tumors, both malignant and benign, may arise within the small intestine. Small bowel neoplasms are rare, accounting for 0.5% of all cancers and approximately 3% of all. Your small intestine is part of your. Small intestine cancer happens when malignant (cancer) cells form in your small intestine, or small bowel. The differential diagnosis of small bowel tumors.
Source: radiologyassistant.nl
Small Bowel Tumor - Small intestine cancer happens when malignant (cancer) cells form in your small intestine, or small bowel. A variety of tumors, both malignant and benign, may arise within the small intestine. Small bowel neoplasms are rare, accounting for 0.5% of all cancers and approximately 3% of all. Your small intestine is part of your. The differential diagnosis of small bowel tumors.
Source: surgicalimages.arizona.edu
Small Bowel Tumor - Small intestine cancer happens when malignant (cancer) cells form in your small intestine, or small bowel. A variety of tumors, both malignant and benign, may arise within the small intestine. The differential diagnosis of small bowel tumors includes many infectious and inflammatory diseases, that all present with focal bowel wall thickening. Your small intestine is part of your. Small bowel.
Source: www.researchgate.net
Small Bowel Tumor - Your small intestine is part of your. Small intestine cancer happens when malignant (cancer) cells form in your small intestine, or small bowel. Small bowel neoplasms are rare, accounting for 0.5% of all cancers and approximately 3% of all. The differential diagnosis of small bowel tumors includes many infectious and inflammatory diseases, that all present with focal bowel wall thickening..
Source: www.ctisus.com
Small Bowel Tumor - A variety of tumors, both malignant and benign, may arise within the small intestine. The differential diagnosis of small bowel tumors includes many infectious and inflammatory diseases, that all present with focal bowel wall thickening. Small bowel neoplasms are rare, accounting for 0.5% of all cancers and approximately 3% of all. Small intestine cancer happens when malignant (cancer) cells form.
Source: surgicalimages.arizona.edu
Small Bowel Tumor - Small bowel neoplasms are rare, accounting for 0.5% of all cancers and approximately 3% of all. Your small intestine is part of your. Small intestine cancer happens when malignant (cancer) cells form in your small intestine, or small bowel. The differential diagnosis of small bowel tumors includes many infectious and inflammatory diseases, that all present with focal bowel wall thickening..
Source: healthbeautyidea.com
Small Bowel Tumor - Small intestine cancer happens when malignant (cancer) cells form in your small intestine, or small bowel. A variety of tumors, both malignant and benign, may arise within the small intestine. Small bowel neoplasms are rare, accounting for 0.5% of all cancers and approximately 3% of all. Your small intestine is part of your. The differential diagnosis of small bowel tumors.
Source: radiologyassistant.nl
Small Bowel Tumor - The differential diagnosis of small bowel tumors includes many infectious and inflammatory diseases, that all present with focal bowel wall thickening. Small intestine cancer happens when malignant (cancer) cells form in your small intestine, or small bowel. Your small intestine is part of your. Small bowel neoplasms are rare, accounting for 0.5% of all cancers and approximately 3% of all..
Source: www.mdpi.com
Small Bowel Tumor - The differential diagnosis of small bowel tumors includes many infectious and inflammatory diseases, that all present with focal bowel wall thickening. Small intestine cancer happens when malignant (cancer) cells form in your small intestine, or small bowel. A variety of tumors, both malignant and benign, may arise within the small intestine. Small bowel neoplasms are rare, accounting for 0.5% of.
Source: www.ctisus.com
Small Bowel Tumor - Your small intestine is part of your. Small intestine cancer happens when malignant (cancer) cells form in your small intestine, or small bowel. Small bowel neoplasms are rare, accounting for 0.5% of all cancers and approximately 3% of all. The differential diagnosis of small bowel tumors includes many infectious and inflammatory diseases, that all present with focal bowel wall thickening..
Source: www.ctisus.com
Small Bowel Tumor - The differential diagnosis of small bowel tumors includes many infectious and inflammatory diseases, that all present with focal bowel wall thickening. Small intestine cancer happens when malignant (cancer) cells form in your small intestine, or small bowel. A variety of tumors, both malignant and benign, may arise within the small intestine. Your small intestine is part of your. Small bowel.
Source: www.ajronline.org
Small Bowel Tumor - Your small intestine is part of your. Small intestine cancer happens when malignant (cancer) cells form in your small intestine, or small bowel. A variety of tumors, both malignant and benign, may arise within the small intestine. Small bowel neoplasms are rare, accounting for 0.5% of all cancers and approximately 3% of all. The differential diagnosis of small bowel tumors.
Source: radiologyassistant.nl
Small Bowel Tumor - Small bowel neoplasms are rare, accounting for 0.5% of all cancers and approximately 3% of all. A variety of tumors, both malignant and benign, may arise within the small intestine. The differential diagnosis of small bowel tumors includes many infectious and inflammatory diseases, that all present with focal bowel wall thickening. Your small intestine is part of your. Small intestine.
Source: radiologyassistant.nl
Small Bowel Tumor - The differential diagnosis of small bowel tumors includes many infectious and inflammatory diseases, that all present with focal bowel wall thickening. A variety of tumors, both malignant and benign, may arise within the small intestine. Your small intestine is part of your. Small bowel neoplasms are rare, accounting for 0.5% of all cancers and approximately 3% of all. Small intestine.